
Día Mundial de la Ciencia y Tecnología- 10 de Abril
Fue establecido en 1982 por la Conferencia General de la UNESCO en honor al nacimiento del Dr. Bernardo Houssay.

Fue establecido en 1982 por la Conferencia General de la UNESCO en honor al nacimiento del Dr. Bernardo Houssay.

En homenaje a la trayectoria de la Sociedad Argentina de Cardiología (SAC), el 3 de diciembre de 2014 se instituyó el “Día de la Cardiología Argentina¨.

La introducción de pigmentos en la piel no es inocua desde el punto de vista biológico.

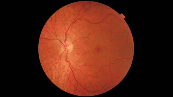
La retina es el único lugar del cuerpo donde podemos observar directamente la microcirculación de forma no invasiva.

En esta campaña 2026, se invita a todas las personas a participar uniéndose a la conversación mundial a través de #StandWithScience.

La Organización Mundial de la Salud celebra todos los 6 de abril el Día Mundial de la Actividad Física.

Vacuna personalizada diseñada por BioNtech, incluye el ARN mensajero, induciendo una respuesta inmunitaria de linfocitos T .

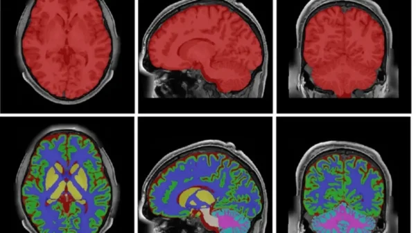
Uno de los atlas del cerebro más detallado del mundo.

Se creó, según lo establecido por ley 25.392, el Registro Nacional de Donantes de Células Progenitoras Hematopoyéticas (CPH) del INCUCAI.

Un hito internacional es el liderazgo del proyecto europeo HARIA (Human Augmentation through Robotic Intelligent Agents).



















































