Medicina

Primer desfibrilador de bolsillo
El DEA personal permite tener acceso inmediato a un desfibrilador en lugares donde no hay acceso a un DEA convencional.

Enfermedad celíaca – Prevención
El Servicio de Gastroenterología del Hospital Clinic de Barcelona, desarrolló una guía práctica para evitar los errores más comunes.

Mapeo electroanatómico cardiaco instantáneo
Fue desarrollado por los profesionales del Servicio de Cardiología del Laboratorio de Investigación Traslacional del Hospital Gregorio Marañón.

Osteoporosis I- Karolinska Institutet
La osteoporosis es una enfermedad muy extendida en la que el sistema sanitario suele ser deficiente

Osteoporosis II- Karolinska Institutet
Investigadores del instituto determinaron que la osteoporosis puede detectarse durante la mamografía.

Tatuajes- Inyección de pigmentos
La introducción de pigmentos en la piel no es inocua desde el punto de vista biológico.

Riesgo Cardiovascular- Retina -Atheroscope
La retina es el único lugar del cuerpo donde podemos observar directamente la microcirculación de forma no invasiva.

Cáncer de mama triple negativo
Vacuna personalizada diseñada por BioNtech, incluye el ARN mensajero, induciendo una respuesta inmunitaria de linfocitos T .

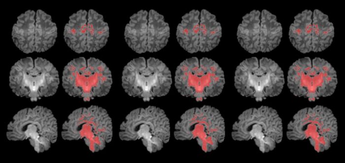
HoliAtlas- Neuroimágenes- Neurodiagnóstico
Uno de los atlas del cerebro más detallado del mundo.

Medicina regenerativa- Células pluripotentes
Las células iPS (células madre pluripotentes inducidas), una vez reprogramadas, poseen la capacidad de replicarse y dividirse de forma ilimitada.


























































