
HoliAtlas- Neuroimágenes- Neurodiagnóstico
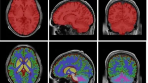
Uno de los atlas del cerebro más detallado del mundo.

Uno de los atlas del cerebro más detallado del mundo.

La proteína p-tau217 se ha consolidado como el marcador más preciso para detectar esta patología.

Es un innovador dispositivo de diagnóstico por imágenes ultracompacto que ayuda a diagnosticar y controlar trastornos relacionados con el cerebro, como la enfermedad de Alzheimer.

Se creó, según lo establecido por ley 25.392, el Registro Nacional de Donantes de Células Progenitoras Hematopoyéticas (CPH) del INCUCAI.

El 22 de Marzo, la Organización de las Naciones Unidas (ONU) enfoca la atención en el lema: “Donde fluye el agua, crece la igualdad”

El primer ¨Día Mundial de los Defectos Congénitos¨ se celebró el 3 de Marzo del 2.015 con el apoyo de 12 organizaciones.

Desde el 2008, la Alianza Europea de Asociaciones de Pacientes con Enfermedades Raras (EURORDIS), lo conmemora el 28 o 29 de Febrero.

Se conmemora en esta fecha en honor a Elizabeth Blackwell , quien fue la primera mujer del mundo, que logró ejercer la profesión como médica.

Desde el año 1954, el último domingo de Enero, se celebra el Día Mundial de lucha contra la Lepra (¨La enfermedad más antigua del mundo¨).
















































